3 lata ago
Białe kropki, grudki czy krostki pojawiające się na twarzy mogą być źródłem frustracji i niepewności. Często lokalizują się w newralgicznych miejscach, takich jak broda czy okolice oczu. Choć wyglądają podobnie do zwykłych wyprysków, nie zawsze nimi są. Kluczowe jest właściwe zdiagnozowanie problemu, ponieważ białe zmiany na skórze mogą mieć różne podłoże i wymagać odmiennych metod pielęgnacji czy leczenia. Dwa najczęstsze typy białych zmian to prosaki (milie) oraz krosty związane z trądzikiem pospolitym.

- Prosaki a krosty trądzikowe – jak je odróżnić?
- Skąd się biorą prosaki? Przyczyny powstawania
- UWAGA: Dlaczego nie wyciskać prosaków samodzielnie?
- Domowe metody wspomagające walkę z prosakami i zapobieganie im
- Profesjonalne metody usuwania prosaków
- Ochrona przeciwsłoneczna po zabiegach
- Zapobieganie nawrotom – klucz do sukcesu
- Tabela porównawcza: Prosaki vs Krosty Trądzikowe
- Najczęściej zadawane pytania (FAQ)
- Podsumowanie
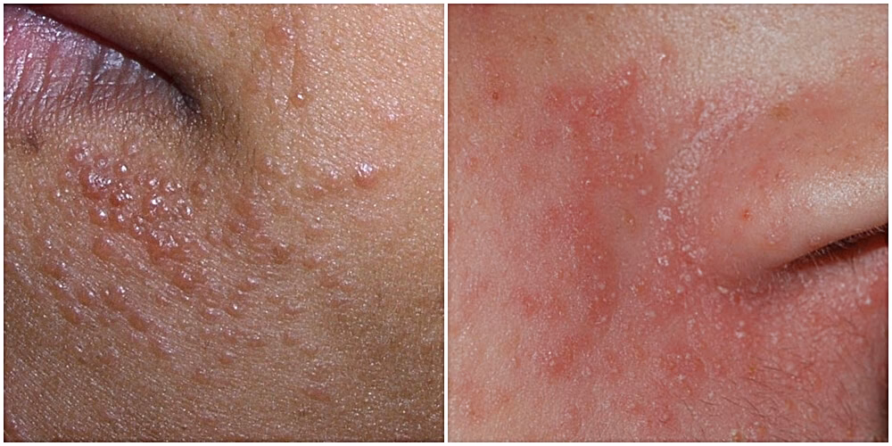
Prosaki a krosty trądzikowe – jak je odróżnić?
Zanim zaczniesz działać, upewnij się, z jakim rodzajem zmiany masz do czynienia. Choć oba typy mogą być białe, różnią się wyglądem i charakterystyką:
Prosaki (Milie)
Prosaki to małe, twarde, białe lub żółtawe grudki o wielkości 1-2 mm. Powstają w wyniku nagromadzenia keratyny (białka budującego naskórek) pod powierzchnią skóry. Często występują licznie, tworząc skupiska, szczególnie na brodzie, policzkach i w okolicach oczu (również na powiekach). Są wyczuwalne jako twarde kuleczki pod skórą. Co ważne, prosaki zazwyczaj nie są bolesne, nie swędzą i nie mają stanu zapalnego wokół siebie. Nie posiadają też widocznego „czubka” z płynną treścią, jak typowe pryszcze.
Krosty trądzikowe z białym czubkiem
Typowe krosty trądzikowe z białą wydzieliną (potocznie nazywane białymi pryszczami) powstają w wyniku zatkania ujść gruczołów łojowych i namnożenia bakterii, co prowadzi do stanu zapalnego. Charakteryzują się zaczerwienieniem wokół zmiany, często są bolesne lub swędzące. Posiadają widoczny, miękki, biały lub żółtawy czubek, który zawiera mieszaninę łoju i ropy. Zmiany te mogą być pojedyncze lub występować w większej liczbie, często towarzyszą im inne objawy trądziku, takie jak zaskórniki czy grudki podskórne.
Jeśli masz wątpliwości co do charakteru zmian na swojej skórze, najlepiej skonsultować się z lekarzem dermatologiem lub doświadczonym kosmetologiem. Właściwa diagnoza jest kluczem do dobrania skutecznej i bezpiecznej metody leczenia.
Skąd się biorą prosaki? Przyczyny powstawania
Główną przyczyną powstawania prosaków jest zaburzenie procesu złuszczania naskórka i zatkanie ujść mieszków włosowo-łojowych lub potowych przez nagromadzoną keratynę. Do czynników sprzyjających ich powstawaniu należą:
- Nadmierne rogowacenie naskórka: Kiedy komórki naskórka zbyt szybko się dzielą i nieprawidłowo złuszczają, mogą zatykać pory.
- Nadprodukcja sebum: Choć prosaki to głównie keratyna, nadmierne wydzielanie łoju może przyczyniać się do zatykania ujść gruczołów.
- Nieprawidłowa pielęgnacja: N inadequate cleansing, especially not removing makeup thoroughly, or insufficient exfoliation can leave dead skin cells on the surface, leading to blockages. Używanie zbyt ciężkich, komedogennych (zapychających pory) kosmetyków również może być problemem.
- Uszkodzenia skóry: Prosaki mogą pojawić się po urazach skóry, oparzeniach, zabiegach dermatologicznych (np. peelingach, laseroterapii) lub w wyniku stosowania niektórych leków (np. sterydów). Są to tzw. prosaki wtórne.
- Czynniki genetyczne i hormonalne: Skłonność do powstawania prosaków może być dziedziczna. Wahania hormonalne również mogą mieć wpływ na kondycję skóry.
- Ekspozycja na słońce: Nadmierne opalanie może prowadzić do pogrubienia naskórka i utrudniać jego prawidłowe złuszczanie.
UWAGA: Dlaczego nie wyciskać prosaków samodzielnie?
Jedną z najważniejszych zasad w pielęgnacji cery z prosakami jest unikanie samodzielnych prób ich usuwania. Nie wyciskaj, nie nakłuwaj ani nie próbuj zdrapywać prosaków w domu! Dlaczego jest to tak niebezpieczne?
- Ryzyko infekcji: Samodzielne manipulowanie przy skórze, zwłaszcza bez odpowiedniej higieny i narzędzi, może wprowadzić bakterie do uszkodzonej tkanki, prowadząc do stanu zapalnego, ropy i trudnych do wyleczenia infekcji.
- Powstawanie blizn i przebarwień: Prosaki są twardymi grudkami umiejscowionymi pod skórą. Próba ich wyciśnięcia siłą może uszkodzić otaczające tkanki, co często kończy się powstaniem trwałych blizn lub nieestetycznych przebarwień pozapalnych, które są znacznie trudniejsze do usunięcia niż same prosaki.
- Brak skuteczności: Ze względu na swoją budowę i położenie, prosaków zazwyczaj nie da się „wycisnąć” jak zwykłego pryszcza. Zamiast usunąć problem, możesz jedynie pogorszyć stan skóry.
- Ból i obrzęk: Nieumiejętne próby usunięcia są bolesne i mogą prowadzić do obrzęku w miejscu manipulacji.
Samodzielne usuwanie prosaków jest błędem, który może mieć poważne konsekwencje dla wyglądu i zdrowia skóry. Zawsze powierz to zadanie specjaliście.
Domowe metody wspomagające walkę z prosakami i zapobieganie im
Choć domowe metody rzadko pozwalają na szybkie i całkowite usunięcie istniejących, głęboko osadzonych prosaków, są nieocenione w profilaktyce i wspomaganiu terapii. Pomagają poprawić kondycję skóry, regulują proces złuszczania i zapobiegają tworzeniu się nowych zmian.
1. Dokładne oczyszczanie skóry
To absolutna podstawa. Codzienne, dwuetapowe oczyszczanie (np. najpierw olejek lub płyn micelarny do usunięcia makijażu i zanieczyszczeń, a następnie żel lub pianka myjąca z użyciem wody) pomaga usunąć nadmiar sebum, brud i martwe komórki naskórka, które mogą zatykać pory.
2. Regularne złuszczanie (peelingi)
Peelingi są kluczowe w walce z prosakami, ponieważ pomagają usunąć nagromadzoną keratynę i przyspieszyć odnowę naskórka. Wybór peelingu zależy od typu i wrażliwości cery:
- Peelingi enzymatyczne: Działają delikatnie, rozpuszczając martwe komórki naskórka za pomocą enzymów (np. papaina, bromelaina). Są odpowiednie dla cery wrażliwej, naczynkowej, skłonnej do podrażnień.
- Peelingi z kwasami: Kosmetyki zawierające kwasy AHA (np. glikolowy, migdałowy, mlekowy), BHA (kwas salicylowy) czy PHA działają silniej złuszczająco, pomagają odblokować ujścia gruczołów łojowych i poprawiają teksturę skóry. Stosuj je zgodnie z zaleceniami producenta, zazwyczaj kilka razy w tygodniu lub codziennie w niższym stężeniu.
- Peelingi mechaniczne: Zawierają drobinki ścierające. Należy stosować je ostrożnie i rzadziej, zwłaszcza jeśli skóra jest wrażliwa lub ma aktywne stany zapalne. Zbyt agresywne tarcie może pogorszyć problem.
3. Kosmetyki z kwasami
Włączenie do codziennej pielęgnacji toników, serum czy kremów z niskimi stężeniami kwasów (np. kwasu glikolowego, migdałowego) może stopniowo wspomagać proces złuszczania naskórka i zapobiegać powstawaniu nowych prosaków.
4. „Parówka” na twarz (sauna dla twarzy)
Regularne wykonywanie kąpieli parowych dla twarzy (pochylenie się nad miską z gorącą wodą, przykrywając głowę ręcznikiem) pomaga rozszerzyć pory i zmiękczyć skórę, ułatwiając łojowi i zanieczyszczeniom wydostanie się na powierzchnię. Może to być pomocne w zapobieganiu zatykaniu porów, ale nie usunie istniejących, twardych prosaków.
Profesjonalne metody usuwania prosaków
Najszybsze i najskuteczniejsze rezultaty w usuwaniu istniejących prosaków przynoszą zabiegi wykonywane w gabinetach dermatologicznych i kosmetologicznych. Specjaliści dysponują narzędziami i wiedzą, które pozwalają bezpiecznie usunąć zmiany bez ryzyka powikłań.
1. Mechaniczne usuwanie (ekstrakcja)
To najprostsza metoda, polegająca na delikatnym nakłuciu prosaka sterylną igłą pod odpowiednim kątem, a następnie usunięciu zawartości za pomocą specjalistycznych narzędzi. Zabieg ten powinien być wykonywany wyłącznie przez przeszkolony personel (lekarza lub kosmetologa) w sterylnych warunkach.
2. Peelingi chemiczne
Zabiegi z użyciem wyższych stężeń kwasów (np. glikolowego, salicylowego, retinowego). Powodują kontrolowane złuszczanie głębszych warstw naskórka, co prowadzi do usunięcia prosaków i poprawy ogólnej kondycji skóry. Wymagają serii zabiegów i odpowiedniej pielęgnacji pozabiegowej.
3. Mikrodermabrazja
Mechaniczne ścieranie warstwy rogowej naskórka za pomocą specjalnego urządzenia z głowicą diamentową lub korundową. Pomaga usunąć płytko osadzone prosaki i stymuluje odnowę skóry. Podobnie jak peelingi chemiczne, zazwyczaj wymaga kilku sesji.

4. Elektrokoagulacja
Metoda wykorzystująca prąd elektryczny o wysokiej częstotliwości. Za pomocą cienkiej elektrody dotyka się prosaka, powodując jego termiczne uszkodzenie i koagulację (ścinanie białek). Zmiana staje się biała, a po kilku dniach tworzy się strupek, który odpada, pozostawiając gładką skórę. To skuteczna metoda na pojedyncze, większe prosaki.
5. Krioterapia
Usuwanie prosaków przez ich wymrażanie ciekłym azotem. Niska temperatura niszczy komórki prosaka. Podobnie jak po elektrokoagulacji, pojawia się strupek, który odpada. Metoda ta jest szybka, ale wymaga precyzji, zwłaszcza w delikatnych okolicach.
6. Laserowe usuwanie prosaków
Zabiegi laserowe (np. laser CO2) polegają na odparowaniu zmiany skórnej. Wiązka lasera precyzyjnie niszczy strukturę prosaka. Jest to metoda skuteczna, minimalnie inwazyjna i pozostawiająca niewielkie ryzyko blizn, jeśli jest wykonana prawidłowo.
Wybór metody profesjonalnego usuwania zależy od liczby, wielkości, lokalizacji prosaków oraz ogólnego stanu skóry. Zawsze konsultuj się ze specjalistą, aby dobrać najodpowiedniejszą terapię.
Ochrona przeciwsłoneczna po zabiegach
Niezależnie od wybranej metody usuwania prosaków (zwłaszcza po peelingach chemicznych, mikrodermabrazji, laseroterapii czy zabiegach z kwasami), kluczowa jest bezwzględna ochrona skóry przed promieniowaniem UV. Skóra po zabiegu jest bardziej wrażliwa na słońce, a brak ochrony może prowadzić do powstania trwałych przebarwień. Stosuj kremy z wysokim filtrem SPF 50+ każdego dnia, nawet w pochmurne dni.
Zapobieganie nawrotom – klucz do sukcesu
Niestety, usunięcie prosaków nie daje gwarancji, że nie pojawią się one ponownie, zwłaszcza jeśli istnieje skłonność do ich powstawania. Dlatego tak ważna jest profilaktyka. Składa się na nią:
- Regularne, dokładne oczyszczanie skóry.
- Systematyczne stosowanie peelingów (szczególnie enzymatycznych i z kwasami), aby wspomagać prawidłowe złuszczanie naskórka.
- Unikanie ciężkich, komedogennych kosmetyków.
- Ochrona przed słońcem.
- Zbilansowana dieta i dbanie o równowagę hormonalną (w miarę możliwości).
Konsekwentna, odpowiednio dobrana pielęgnacja jest najlepszym sposobem na zminimalizowanie ryzyka nawrotu prosaków.
Tabela porównawcza: Prosaki vs Krosty Trądzikowe
| Cecha | Prosaki (Milie) | Krosty Trądzikowe (Whiteheads) |
|---|---|---|
| Wygląd | Małe, twarde, białe/żółtawe grudki | Krosty z białym/żółtawym, miękkim czubkiem |
| Wielkość | Zazwyczaj 1-2 mm | Zmienna, często większe od prosaków |
| W dotyku | Twarde, wyczuwalne pod skórą | Miękkie, często napuchnięte |
| Ból/Swędzenie | Zazwyczaj brak | Często bolesne, mogą swędzieć |
| Stan zapalny | Brak lub minimalny | Często obecny (zaczerwienienie wokół) |
| Lokalizacja | Często skupiska na brodzie, policzkach, wokół oczu | Rozproszone, mogą pojawić się wszędzie |
| Zawartość | Keratyna (białko naskórka) | Mieszanina łoju, ropy, bakterii |
Najczęściej zadawane pytania (FAQ)
Q: Czy prosaki znikną same?
A: Czasem, zwłaszcza u noworodków, prosaki znikają samoistnie po kilku tygodniach lub miesiącach. U dorosłych prosaki często utrzymują się, a ich samoistne zniknięcie jest mniej prawdopodobne bez odpowiedniej pielęgnacji lub zabiegów.
Q: Jak długo trwa leczenie prosaków?
A: Domowe metody i kosmetyki z kwasami przynoszą efekty stopniowo, często widoczne po 2-3 miesiącach regularnego stosowania. Profesjonalne zabiegi, takie jak elektrokoagulacja czy krioterapia, mogą usunąć zmiany od razu, ale w przypadku licznych prosaków lub skłonności do ich powstawania, konieczne mogą być kolejne wizyty lub regularna pielęgnacja zapobiegawcza.
Q: Czy mogę iść do kosmetyczki, żeby usunąć prosaki?
A: Tak, wiele zabiegów usuwania prosaków, takich jak mechaniczna ekstrakcja, peelingi chemiczne, mikrodermabrazja czy elektrokoagulacja, jest wykonywanych w gabinetach kosmetologicznych. Ważne jest, aby wybrać doświadczonego i wykwalifikowanego specjalistę, który przeprowadzi zabieg w higienicznych warunkach.
Q: Czy prosaki mogą pojawić się ponownie po usunięciu?
A: Tak, niestety prosaki mają tendencję do nawracania, zwłaszcza jeśli istnieją predyspozycje genetyczne lub nie jest prowadzona odpowiednia pielęgnacja zapobiegawcza. Regularne oczyszczanie i złuszczanie skóry są kluczowe, aby zminimalizować ryzyko pojawienia się nowych zmian.
Q: Czy dieta ma wpływ na powstawanie prosaków?
A: Bezpośredni wpływ diety na prosaki nie jest tak wyraźny jak w przypadku niektórych form trądziku, ale ogólna kondycja organizmu i skóry zależy od zdrowego odżywiania. Zbilansowana dieta może wspierać prawidłowe funkcjonowanie skóry i procesy regeneracyjne.
Podsumowanie
Białe kropki na brodzie i innych częściach twarzy to często prosaki, które różnią się od krost trądzikowych. Kluczem do ich skutecznego usunięcia jest właściwa diagnoza postawiona przez dermatologa lub kosmetologa. Niezależnie od tego, czy zdecydujesz się na profesjonalne zabiegi, czy skupisz na domowej pielęgnacji zapobiegawczej, pamiętaj, aby nigdy nie wyciskaj prosaków samodzielnie. Bezpieczne metody profesjonalne, takie jak elektrokoagulacja, krioterapia czy laser, dają najszybsze efekty, podczas gdy odpowiednia pielęgnacja z kwasami i peelingami jest nieoceniona w długoterminowej walce i zapobieganiu nawrotom. Dbanie o czystość skóry i regularne złuszczanie to Twoi najlepsi sprzymierzeńcy w drodze do gładkiej cery bez niechcianych białych kropek.
Jeśli chcesz przeczytać więcej interesujących artykułów jak 'Jak pozbyć się prosaków i białych kropek?', odwiedź kategorię Skóra.
